down white plain icon down purple plain icon
down white plain icon down purple plain icon

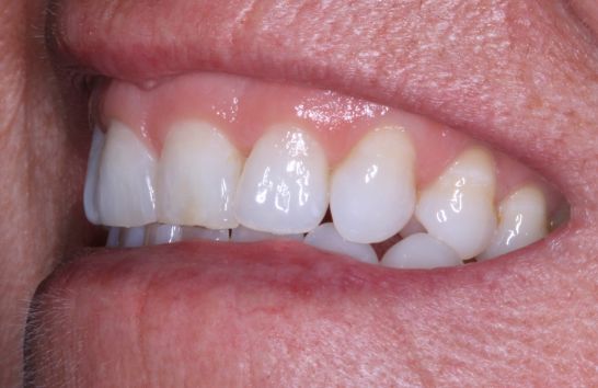
The Inman Aligner is the perfect solution for crowding or protruding front teeth.

It is really efficient, very safe and great value. It is a removable appliance that uses two opposing nickel-titanium spring-loaded aligner bars to create gentle forces that guide the teeth into the desired position. Its removable nature allows for convenience during eating and oral hygiene.

The Inman Aligners’ flexibility, requiring as little as 16 hours of wear a day, makes it convenient and adaptable to various lifestyles. This reduced wear time can be less intrusive for individuals seeking teeth straightening with minimal disruption to their daily activities. Most cases are completed in 6-18 weeks.

Back to Orthodontics
down purple circle icon down pink circle icon

Contact

Get in touch

We're here to help, reach out for any questions or to book an appointment.

circle gray plain shape
circle pink plain shape

Testimonials

What our patients are saying

Real stories from happy smiles, hear how we’ve made a difference.

View our testimonials right white plain arrow right pink plain arrow
212 Dental Studio

Denis L.

star purple plain icon
google blue red yellow green plain icon

“Above and beyond, thank you.”

212 Dental Studio

Richard S.

star purple plain icon
google blue red yellow green plain icon

“Always been looked after well here, Amy is a brilliant dentist, and the...”

212 Dental Studio

Caroline M.

star purple plain icon
google blue red yellow green plain icon

“Always good, friendly service from every member of staff. The dentist herself is...”

212 Dental Studio

Helen E.

star purple plain icon
google blue red yellow green plain icon

“Friendly staff and helpful advice.”

212 Dental Studio

Rets V.

star purple plain icon
google blue red yellow green plain icon

“Always a great service and always friendly people.”

212 Dental Studio

John MC.

star purple plain icon
google blue red yellow green plain icon

“Always so helpful, friendly and efficient! Top-class service in every way. Outstanding.”

212 Dental Studio

S K.

star purple plain icon
google blue red yellow green plain icon

“Staff are always friendly, and I have received great treatment every time from...”

212 Dental Studio

Andrew G.

star purple plain icon
google blue red yellow green plain icon

“As always, friendly, helpful and a pleasure to visit.”

212 Dental Studio

Karen B.

star purple plain icon
google blue red yellow green plain icon

“Great dental practice. I have been a patient here for over 30 years....”

212 Dental Studio

Tom H.

star purple plain icon
google blue red yellow green plain icon

“Always a friendly welcome, efficient and punctual service and providing good advice. Highly...”

212 Dental Studio

Chris P.

star purple plain icon
google blue red yellow green plain icon

“Staff work very well as a team. They are friendly, listen carefully and...”

212 Dental Studio

John L.

star purple plain icon
google blue red yellow green plain icon

“Brilliant service as always. Best dental practice in Stockport.”

212 Dental Studio

Raymond G.

star purple plain icon
google blue red yellow green plain icon

“All the staff I have seen are caring, sensitive and professional. Yet still...”

212 Dental Studio

Carol W.

star purple plain icon
google blue red yellow green plain icon

“I have been with the dental practice for many years and have always...”

212 Dental Studio

Amy

star purple plain icon
google blue red yellow green plain icon

“Friendly, professional and knowledgeable staff. Dr DeZoysa, Jill and Denise are absolute superstars....”

212 Dental Studio

Denis L.

star purple plain icon
google blue red yellow green plain icon

“Above and beyond, thank you.”

212 Dental Studio

Richard S.

star purple plain icon
google blue red yellow green plain icon

“Always been looked after well here, Amy is a brilliant dentist, and the staff are professional and friendly”

212 Dental Studio

Caroline M.

star purple plain icon
google blue red yellow green plain icon

“Always good, friendly service from every member of staff. The dentist herself is gentle, knowledgeable and inspires confidence.”

212 Dental Studio

Helen E.

star purple plain icon
google blue red yellow green plain icon

“Friendly staff and helpful advice.”

212 Dental Studio

Rets V.

star purple plain icon
google blue red yellow green plain icon

“Always a great service and always friendly people.”

212 Dental Studio

John MC.

star purple plain icon
google blue red yellow green plain icon

“Always so helpful, friendly and efficient! Top-class service in every way. Outstanding.”

212 Dental Studio

S K.

star purple plain icon
google blue red yellow green plain icon

“Staff are always friendly, and I have received great treatment every time from Amy.”

212 Dental Studio

Andrew G.

star purple plain icon
google blue red yellow green plain icon

“As always, friendly, helpful and a pleasure to visit.”

212 Dental Studio

Karen B.

star purple plain icon
google blue red yellow green plain icon

“Great dental practice. I have been a patient here for over 30 years. I wouldn’t go anywhere else....”

212 Dental Studio

Tom H.

star purple plain icon
google blue red yellow green plain icon

“Always a friendly welcome, efficient and punctual service and providing good advice. Highly recommended.”

212 Dental Studio

Chris P.

star purple plain icon
google blue red yellow green plain icon

“Staff work very well as a team. They are friendly, listen carefully and are happy to help.”

212 Dental Studio

John L.

star purple plain icon
google blue red yellow green plain icon

“Brilliant service as always. Best dental practice in Stockport.”

212 Dental Studio

Raymond G.

star purple plain icon
google blue red yellow green plain icon

“All the staff I have seen are caring, sensitive and professional. Yet still able to make the visit...”

212 Dental Studio

Carol W.

star purple plain icon
google blue red yellow green plain icon

“I have been with the dental practice for many years and have always been treated with kindness and...”

212 Dental Studio

Amy

star purple plain icon
google blue red yellow green plain icon

“Friendly, professional and knowledgeable staff. Dr DeZoysa, Jill and Denise are absolute superstars. They have worked really hard...”

circle dark purple plain shape

Smile Gallery

Smile transformations

Case 1 - Inman Aligner

Teeth straightening with Inman Aligners.

Explore right pink plain arrow right black plain arrow

consultation

Take the first step towards your perfect smile.

Schedule now!

Social Media

Connect with us online

Google Rating
4.9
Google Rating
Google-review